Categoria : Salud

Salud

Dermatitis atópica está marcadamente subdiagnosticada por los médicos en Puerto Rico

Esta es la conclusión de un estudio en pacientes puertorriqueños sobre la dermatitis atópica, ante la necesidad de que se conozca aún más sobre esta c...

Ketsy Román: la puertorriqueña que creó un grupo de apoyo para los pacientes con dermatitis atópica

Ketsy Román: la puertorriqueña que creó un grupo de apoyo para los pacientes con dermatitis atópica

La dermatitis atópica es una enfermedad altamente prevalente en la Isla. Un 10 a 12 % de la población lo padece", sostiene el Dr. José González Chávez...

Tormenta atópica: el factor genético en enfermedades autoinmunes como la Dermatitis Atópica

Tormenta atópica: el factor genético en enfermedades autoinmunes como la Dermatitis Atópica

Un grupo de apoyo en beneficio de los pacientes con dermatitis atópica en Puerto Rico.Esa fue la motivación del Dr. José González Chávez, dermatólogo...

¡No están solos!: Alianza dermatológica en beneficio de los pacientes en Puerto Rico

¡No están solos!: Alianza dermatológica en beneficio de los pacientes en Puerto Rico

En Puerto Rico existe actualmente una prevalencia de entre el 10 al 12 % de la población que padece de dermatitis atópica, una condición dermatológica...

Orina espumosa: ¿Es un signo de alarma o un proceso biológico normal?

Orina espumosa: ¿Es un signo de alarma o un proceso biológico normal?

Orinar con espuma, no es un diagnóstico ni muchos menos determina tu estado de salud, sí es cierto que puede ser un factor a tener en cuenta, y como u...

Terapia combinada en ratones demuestra potencial para detener el cáncer de pulmón de células pequeñas

Terapia combinada en ratones demuestra potencial para detener el cáncer de pulmón de células pequeñas

De acuerdo con un estudio realizado por investigadores de la Facultad de Medicina de la Universidad de Washington en San Luis, el Centro Oncológico MD...

¿Qué hay detrás de la niebla mental en el hipotiroidismo tratado?

¿Qué hay detrás de la niebla mental en el hipotiroidismo tratado?

El fenómeno de la "niebla mental", como lo describen algunos pacientes con hipotiroidismo a pesar del tratamiento, a menudo se asocia con fatiga y sín...

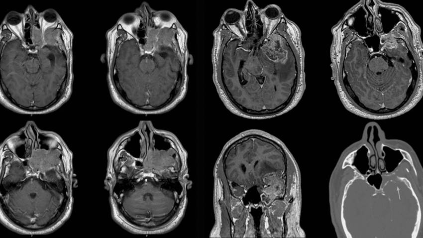
Inusual tumor de cerebro se registra en paciente puertorriqueño

Inusual tumor de cerebro se registra en paciente puertorriqueño

Médicos puertorriqueños revelaron el caso inusual de un tumor agresivo de cáncer que se extendió al seno esfenoidal, cavidades asimétricas llenas de a...

Tenosinovitis y su afectación en las manos

Tenosinovitis y su afectación en las manos

La tenosivitis es un tipo de artritis que genera engrosamiento de la capa que recubre los tendones de los dedos. Cuando se presenta esta enfermedad, s...


0:00