Categoria : Salud

Salud

Las pruebas genéticas y la detección del cáncer de seno

En la mayoría de los casos desconocemos como comienza el cáncer de seno, pero en un pequeño número de pacientes, se debe a una mutación genética. Este...

Describen raro caso de aplasia bilateral de la glándula submandibular

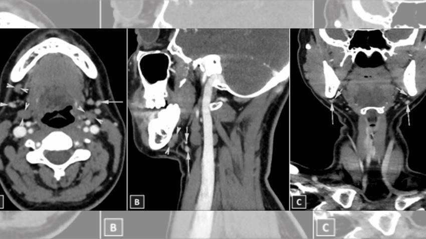
Describen raro caso de aplasia bilateral de la glándula submandibular

La aplasia se ha definido como el desarrollo defectuoso o ausencia congénita de tejido o de un órgano, mientras que las glándulas submandibulares son...

Artritis psoriásica provoca en paciente formaciones con apariencia de granos de arroz

Artritis psoriásica provoca en paciente formaciones con apariencia de granos de arroz

La tenosinovitis con cuerpos libres en forma de granos de arroz es una afección muy infrecuente que se presenta generalmente en pacientes con artritis...

Predicción de eventos cardiacos adversos en pacientes sin insuficiencia cardiaca

Predicción de eventos cardiacos adversos en pacientes sin insuficiencia cardiaca

Estudio busca identificar, si el valor de BNP/NT-proBNP, o el péptido natriurético de tipo B (BNP) como el propéptido natriurético cerebral N-terminal...

Deficiencia de vitamina D está relacionada con la inflamación sistémica

Deficiencia de vitamina D está relacionada con la inflamación sistémica

La deficiencia de vitamina D tiene un papel causal en la inflamación sistémica que comúnmente la acompaña, con una disminución de la inflamación, lo q...

Cáncer de Tiroides, un enemigo silencioso que ocupa el tercer lugar de mayor incidencia en Colombia

Cáncer de Tiroides, un enemigo silencioso que ocupa el tercer lugar de mayor incidencia en Colombia

"El cáncer de tiroides se manifiesta cuando hay un cambio en el ADN dentro de las células tiroideas, que hace que crezcan sin control y produzcan un b...

5 formas de incrementar la fertilidad femenina

5 formas de incrementar la fertilidad femenina

Ser padres para muchos es el resultado de una ecuación sencilla que involucra las relaciones sexuales y el embarazo, sin embargo, para no todas las mu...

Científicos piden gradual remoción de estructuras críticas en zonas de riesgo en Puerto Rico

Científicos piden gradual remoción de estructuras críticas en zonas de riesgo en Puerto Rico

Un comité de científicos que asesora al gobernador Pedro Pierluisi en torno al cambio climático pidió al gobierno considerar la gradual mudanza de fac...

HURRA se convierte en centro para la administración de pastillas antivirales

HURRA se convierte en centro para la administración de pastillas antivirales

El Hospital Universitario Dr. Ramón Ruiz Arnau (HURRA) ubicado en Bayamón se suma desde hoy la administración de medicamentos antivirales para tratar...


0:00