Categoria : Salud

Salud

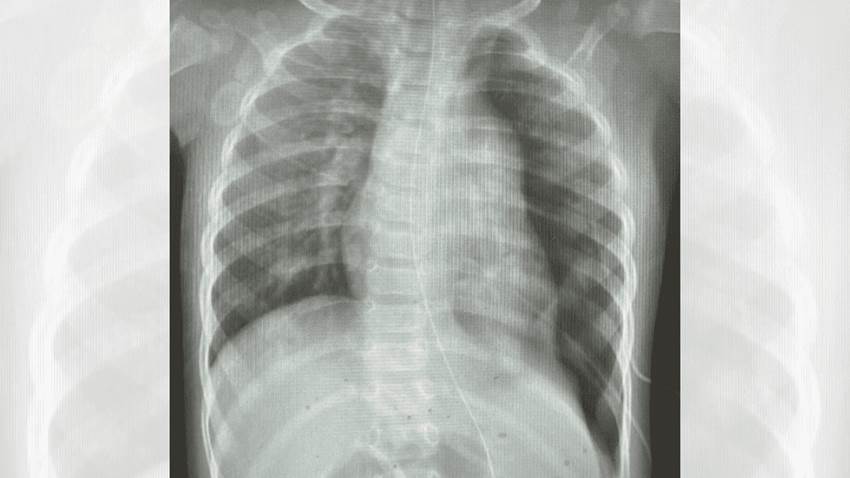
Médicos salvan la vida de infante con hernia diafragmática y estómago desplazado hacia los pulmones

Una hernia diafragmática congénita es una patología que se produce por un defecto anatómico del diafragma, y predispone el paso del contenido abdomina...

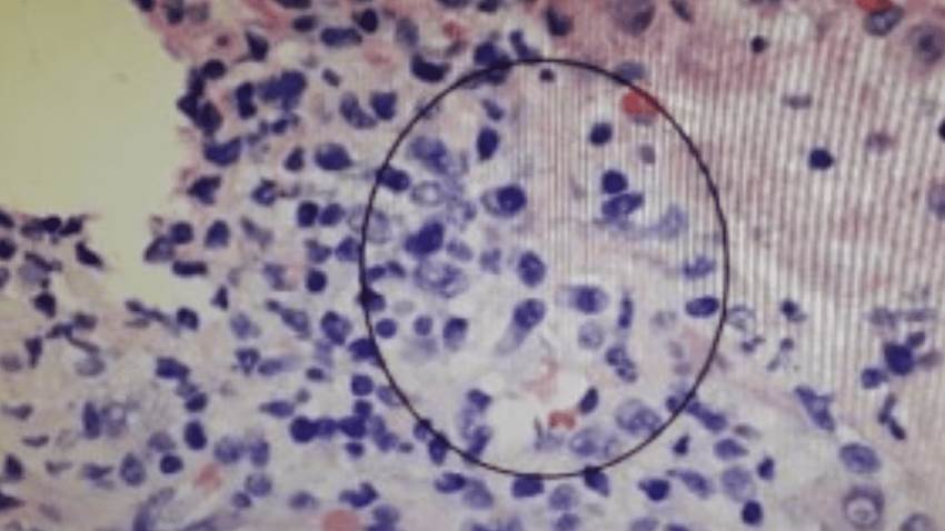
Hepatitis A desencadena una Hepatitis Autoinmune en paciente puertorriqueña

Hepatitis A desencadena una Hepatitis Autoinmune en paciente puertorriqueña

Aunque el virus de la hepatitis A es una enfermedad controlada en Puerto Rico debido a la vacunación a temprana edad que reciben todos los nacidos en...

Expertos recomiendan a la FDA aprobar dosis de refuerzo de la vacuna Covid-19 de Johnson & Johnson

Expertos recomiendan a la FDA aprobar dosis de refuerzo de la vacuna Covid-19 de Johnson & Johnson

Los asesores de vacunas de la Administración de Drogas y Alimentos de EE. UU. votaron unánimemente este viernes para recomendar una dosis de refuerzo...

Conejillos de Indias: Investigan 200 muertes en el estudio de un medicamento contra la COVID-19

Conejillos de Indias: Investigan 200 muertes en el estudio de un medicamento contra la COVID-19

Lo que sucedió en el estado brasileño de Amazonas es un desafío al juramento hipocrático: la muerte de al menos 200 pacientes infectados con COVID-19,...

MSP celebra congreso para pacientes como parte de la concienciación y prevención del cáncer de seno

MSP celebra congreso para pacientes como parte de la concienciación y prevención del cáncer de seno

Con el propósito de ser parte de las iniciativas para la prevención y la promoción a tiempo del cáncer de seno, la revista de Medicina y Salud Pública...

Investigadores confirman la relación entre el colesterol en sangre y riesgo de demencia

Investigadores confirman la relación entre el colesterol en sangre y riesgo de demencia

El estudio indica que los niveles de colesterol de las lipoproteínas de baja densidad (LDL), en especial entre los 40 y 65 años de edad, conllevan rie...

Evolución genética para la detección temprana del cáncer de ovario

Evolución genética para la detección temprana del cáncer de ovario

El cáncer de ovario afecta los órganos reproductivos de la mujer, puede afligir en igual o mayor proporción los dos ovarios. Por ser una enfermedad si...

La nutrición influye sobre el desarrollo de la trombosis venosas profundas, recalca cardiólogo

La nutrición influye sobre el desarrollo de la trombosis venosas profundas, recalca cardiólogo

Una trombosis venosa profunda puede ocurrir como producto de una pobre nutrición, el consumo de nicotina, reposo prolongado, la insuficiencia cardiaca...

Prevención y tratamiento del colesterol alto (hiperlipidemia)

Prevención y tratamiento del colesterol alto (hiperlipidemia)

Cuando se trata del colesterol, es importante conocer sus cifras. Hiperlipidemia significa que la sangre contiene demasiados lípidos (grasas), como co...


0:00