Categoria : Salud

Salud

Dosis de refuerzo no serian necesarias para personas sanas y con proceso de vacunación completo

De acuerdo a entidades de salud y como se ha visto en semanas anteriores, el proceso de vacunación de una tercer dosis es ya casi un hecho, este refue...

El virus del papiloma humano una infección que se puede adquirir incluso con preservativo

El virus del papiloma humano una infección que se puede adquirir incluso con preservativo

El VPH es uno de los patógenos más comunes que suelen presentarse por transmisión sexual, a su vez su epidemiología es la más regular contando con un...

¿Qué es el lupus? Estos son sus síntomas y su tratamiento

¿Qué es el lupus? Estos son sus síntomas y su tratamiento

Los expertos han tipificado al lupus como una de las enfermedades autoinmunes más prevalentes en todo el mundo; sin embargo, dicha afección no ha podi...

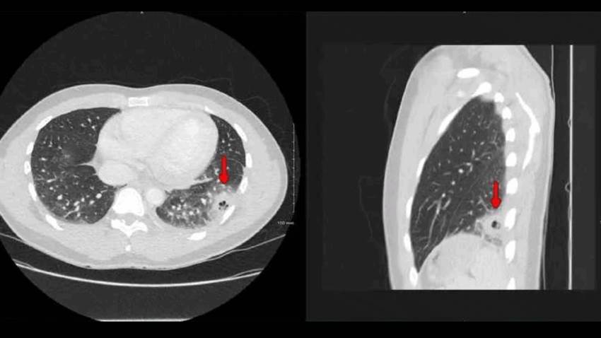
Paciente con COVID-19 desarrolla enfermedad pulmonar cavitaria como complicación a largo plazo del virus

Paciente con COVID-19 desarrolla enfermedad pulmonar cavitaria como complicación a largo plazo del virus

En medio de la alerta salubrista en Puerto Rico ante el registro de complicaciones a largo plazo que ha provocado el COVID19 en pacientes que se han r...

Acuerdo del Departamento de Salud con Abbot lograría allegar 20 mil pruebas de antígeno a la semana

Acuerdo del Departamento de Salud con Abbot lograría allegar 20 mil pruebas de antígeno a la semana

Este jueves el secretario del Departamento de Salud, Carlos Mellado López, indicó que la dependencia gubernamental mantiene un buen inventario de prue...

Mu: la nueva variante del coronavirus identificada por la OMS

Mu: la nueva variante del coronavirus identificada por la OMS

Las mutaciones genéticas que ha tenido el nuevo coronavirus ha sorprendido a expertos por las características individualizadas en cada una de estas, p...

Científicos identifican causa genética de la endometriosis

Científicos identifican causa genética de la endometriosis

Una nueva investigación llevada a cabo por investigadores del Baylor College of Medicine, la Universidad de Oxford, la Universidad de Wisconsin-Madiso...

Una por una, todas las variantes del coronavirus identificadas hasta el momento

Una por una, todas las variantes del coronavirus identificadas hasta el momento

Mientras delta avanza en todo el mundo y amenaza con convertirse en la de mayor circulación, la Organización Mundial de la Salud sumó a su lista de va...

Trombosis venosa: hinchazón o enrojecimiento de la pierna como síntomas

Trombosis venosa: hinchazón o enrojecimiento de la pierna como síntomas

La trombosis venosa profunda se produce cuando se forma un coágulo de sangre (trombo) en una o más venas profundas del cuerpo, generalmente en las pie...


0:00