Categoria : Salud

Salud

¿Cuándo deja de ser contagiosa una persona enferma de Covid-19?: tenga o no síntomas

Muchos países del mundo están viendo un drástico incremento en el número de casos de COVID-19 impulsado por Ómicron, la nueva variante del virus, Pero...

Fragilidad en pacientes con osteoartritis y artritis reumatoide, el efecto de comorbilidades

Fragilidad en pacientes con osteoartritis y artritis reumatoide, el efecto de comorbilidades

Uno de los efectos secundarios que puede desarrollar un paciente que ha sido diagnosticado de artrosis u osteoartritis es fragilidad en sus huesos, pu...

No ha llegado aun el bajón de la curva de contagios por COVID-19, asegura la Dra. Coello

No ha llegado aun el bajón de la curva de contagios por COVID-19, asegura la Dra. Coello

El bajón de hospitalizados en la isla y el hecho de que no llegó al proyectado nivel de los 1,200, hace comenzar la semana con esperanza, pero aún no...

Estudio demuestra avance en los tratamientos en los pacientes con Angioedema en Puerto Rico

Estudio demuestra avance en los tratamientos en los pacientes con Angioedema en Puerto Rico

Los pacientes con Angioedema hereditario (AEH) tipo I y tipo II han demostrado mejores respuestas a los tratamientos según se ha documentado por la di...

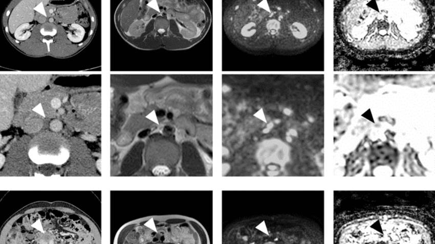
La resonancia magnética reemplazaría a la tomografía computarizada para detectar el Cáncer Testicular

La resonancia magnética reemplazaría a la tomografía computarizada para detectar el Cáncer Testicular

Las preocupaciones sobre la radiación relacionada con las imágenes en pacientes jóvenes con altas tasas de supervivencia han aumentado el uso de imáge...

Virus de la

Virus de la "enfermedad del beso puede ser la causa principal de la esclerosis múltiple

La Esclerosis Múltiple (EM) es una enfermedad inflamatoria desmielinizante crónica del sistema nervioso central de etiología desconocida. Por esa razó...

Reconoce los síntomas comunes en el cáncer de ovario de alto riesgo en etapa temprana

Reconoce los síntomas comunes en el cáncer de ovario de alto riesgo en etapa temprana

Los estudios que se han adelantado en torno al cáncer de ovario epitelial de alto riesgo, en su gran mayoría, se han centrado especialmente en los sín...

La inflamación cardíaca puede estar presente después de una infección leve por COVID-19, indica estudio

La inflamación cardíaca puede estar presente después de una infección leve por COVID-19, indica estudio

La inflamación del miocardio está presente en una pequeña proporción de pacientes que se han recuperado de casos relativamente leves de infección por...

"Reconocer que uno necesita ayuda, es el primer paso para tratar la depresión", Dr. Joalex Antongiorgi

La depresión tiene un impacto a nivel mundial significativo, debido a que no afecta a los pacientes solamente sino a su vez al grupo familiar, siendo...


0:00