Categoria : Salud

Salud

Gobierno de Puerto Rico extiende vigencia de Orden Ejecutiva por COVID-19

En medio de las cifras que hoy llegan a las 900 hospitalizaciones por COVID-19, el gobernador Pedro Pierluisi prorrogó las órdenes ejecutivas vigentes...

Colombia redujo de 6 a 4 meses la aplicación de la vacuna de refuerzo contra la COVID-19

Colombia redujo de 6 a 4 meses la aplicación de la vacuna de refuerzo contra la COVID-19

Debido al alza de contagios por Covid-19 que esta pasando el país, la Presidencia de la República junto a el Ministerio de Salud, anunciaron que los c...

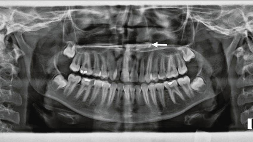
Raro de diente ectópico intranasal en mujer joven se registra en la literatura

Raro de diente ectópico intranasal en mujer joven se registra en la literatura

Los dientes ectópicos que se presentan fuera de la cavidad oral pueden ser dientes deciduos, permanentes o supernumerarios, tal cual refleja su incide...

Consumo de aceite de oliva reduciría mortalidad por enfermedades cardiovasculares, indica estudio

Consumo de aceite de oliva reduciría mortalidad por enfermedades cardiovasculares, indica estudio

En un estudio observacional de más de 90,000 profesionales de la salud de EE. UU., el consumo de incluso una pequeña cantidad de aceite de oliva se as...

Un análisis de sangre ayuda a predecir quien puede beneficiarse del cribado del Cáncer de Pulmón

Un análisis de sangre ayuda a predecir quien puede beneficiarse del cribado del Cáncer de Pulmón

Un análisis de sangre, combinado con un modelo de riesgo basado en los antecedentes de un individuo, determina con mayor precisión quiénes tienen prob...

Salud apunta a estabilización de cifras por COVID-19, pero proyecta mil hospitalizaciones en Puerto Rico

Salud apunta a estabilización de cifras por COVID-19, pero proyecta mil hospitalizaciones en Puerto Rico

El Departamento de Salud afirmó hoy que las cifras de contagio de COVID-19 tienden a la estabilización en la prevalencia aunque las hospitalizaciones...

Infectólogos: próximas dos semanas definen el rumbo de pandemia en Puerto Rico

Infectólogos: próximas dos semanas definen el rumbo de pandemia en Puerto Rico

Las próximas dos semanas serán vitales para definir el rumbo de la pandemia en Puerto Rico con respecto a la incidencia de casos de COVID-19, pero un...

Estudio indica que los anticuerpos monoclonales pueden ser menos efectivos contra Ómicron

Estudio indica que los anticuerpos monoclonales pueden ser menos efectivos contra Ómicron

De acuerdo al nuevo informe técnico de la Organización Mundial de la Salud (OMS), algunos tratamientos no tendrían la misma efectividad contra la vari...

Radiología intervencional en beneficio del paciente oncológico en Puerto Rico

Radiología intervencional en beneficio del paciente oncológico en Puerto Rico

Desde hace algunos años se ha venido implementando la radiología diagnóstica intervencionista mediante la cual se pretende identificar y tratar las an...


0:00