Embarazo intersticial tras transferencia de embriones congelados en paciente con salpingectomía bilateral

Embarazo intersticial tras transferencia de embriones congelados en paciente con salpingectomía bilateral

La paciente es una mujer de 33 años con una compleja historia obstétrica que incluye siete gestaciones previas sin partos (G7P0).

Su trayectoria reproductiva estuvo marcada por cinco pérdidas tempranas del embarazo y un embarazo ectópico tubárico derecho que requirió intervención quirúrgica. Seis años antes del episodio actual, se sometió a salpingectomía bilateral laparoscópica debido al embarazo ectópico complicado con adherencias tubo-peritoneales severas que comprometían ambas trompas de Falopio.

Noticias relacionadas

Mujer de 24 años con coma postcesárea presenta abscesos cerebrales por bacterias orales

octubre 09, 2025

Fallo de reemplazo valvular transcatéter ocasiona trombosis aórtica secundaria a infección por COVID-19

octubre 09, 2025

Accidente de tránsito provoca rotura en la hipofaringe por golpe cervical en paciente de 64 años

octubre 08, 2025

Posteriormente, la paciente intentó concebir mediante dos ciclos de fertilización in vitro que resultaron infructuosos. Su historia médica general no presentaba otros hallazgos significativos, y negó hábitos de tabaquismo, consumo de alcohol o uso de sustancias psicoactivas.

Presentación clínica

La paciente acudió al centro de referencia terciario en el sur de Italia tras una transferencia de embriones congelados, siendo derivada con sospecha de embarazo ectópico a las 6 semanas y 1 día de gestación.

Sorprendentemente, se encontraba completamente asintomática en el momento de la evaluación inicial, sin referir dolor abdominal, sangrado vaginal ni otros síntomas sugestivos de complicación gestacional.

El examen físico demostró que la paciente se encontraba hemodinámicamente estable, con signos vitales dentro de límites normales. No se identificaron signos de irritación peritoneal ni masa palpable al examen abdominal. Esta presentación clínica silente representa uno de los desafíos diagnósticos característicos del embarazo intersticial en etapas tempranas.

Hallazgos diagnósticos

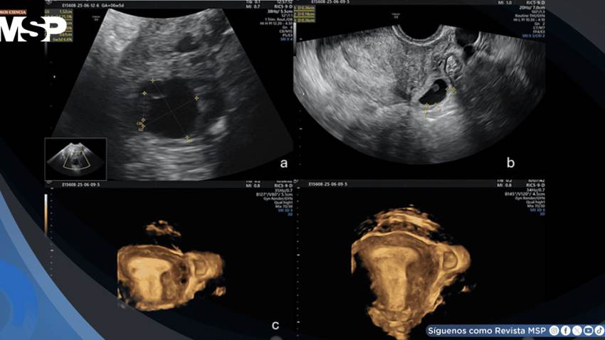
La evaluación ecográfica transvaginal reveló hallazgos diagnósticos inequívocos de embarazo intersticial. Se identificó un saco gestacional que medía 15,5 por 14 milímetros, conteniendo un embrión viable con longitud cráneo-caudal de 3,7 milímetros, consistente con edad gestacional de seis semanas.

El elemento más preocupante fue la ubicación anatómica del saco gestacional en la porción intersticial de la trompa de Falopio izquierda, completamente separado de la cavidad endometrial y rodeado por una capa miometrial peligrosamente delgada de menos de cinco milímetros de espesor.

Estos hallazgos cumplían todos los criterios diagnósticos de Timor-Tritsch para embarazo intersticial. El endometrio presentaba un grosor de 15 milímetros, y el útero mostraba evidencia de fibromatosis. Afortunadamente, no se observó líquido libre en la cavidad pélvica, lo que indicaba ausencia de ruptura en ese momento.

Manejo clínico y evolución

Dado el estado asintomático de la paciente y su deseo de preservar la fertilidad, se optó inicialmente por tratamiento médico con metotrexato intramuscular (1 mg/kg) en los días primero, tercero y quinto, alternando con ácido folínico.

Sin embargo, las mediciones seriadas de beta-gonadotropina coriónica humana mostraron incremento progresivo (15.295, 17.663 y 18.156 mUI/mL en días tres, cinco y siete respectivamente), con persistencia de actividad cardíaca embrionaria, indicando fracaso del tratamiento médico.

El día nueve se realizó resección laparoscópica de la córnula uterina izquierda. Durante la laparoscopia, el embarazo ectópico protruía a través de la superficie serosa con un coágulo que había limitado el sangrado intraperitoneal.

La técnica quirúrgica incluyó infiltración periférica con solución combinada (salina, mepivacaína 1%, metilergometrina y adrenalina) para vasoconstricción y anestesia local, seguida de resección monopolar en cuña del tejido ectópico y cierre en doble capa con sutura de Vicryl 0.

Discusión

Este caso según los autores Caterina Iaquinta et al., ilustra varios aspectos críticos del manejo del embarazo intersticial en el contexto contemporáneo de las tecnologías de reproducción asistida.

Primero, demuestra que el embarazo intersticial puede ocurrir incluso después de salpingectomía bilateral completa, probablemente debido a tejido tubárico residual en la porción intramural o migración embrionaria durante la transferencia.

Segundo, subraya la importancia fundamental de la vigilancia ecográfica sistemática y temprana en todas las pacientes sometidas a transferencia de embriones, independientemente de su historia quirúrgica previa.

Tercero, evidencia las limitaciones del tratamiento médico con metotrexato en presencia de actividad cardíaca y niveles elevados de beta-gonadotropina coriónica humana, circunstancias en las que el abordaje quirúrgico debe considerarse precozmente.

Cuarto, demuestra que la cirugía laparoscópica conservadora, cuando se realiza con técnica meticulosa y uso de agentes vasoconstrictores locales, puede lograr la resolución definitiva del embarazo ectópico con pérdida mínima de sangre y preservación del potencial reproductivo.


0:00