Joven presenta rara patología trombótica y aortoilíaca en Puerto Rico

Joven presenta rara patología trombótica y aortoilíaca en Puerto Rico

Belinda Z. Burgos GonzálezAgencia Latina de Noticias Medicina y Salud Pública

La oclusión de la aorta infrarrenal es un cuadro poco descrito en la literatura

Una patología rara en un joven de 20 años retó a los médicos y la literatura científica.

Esta vez, la herencia cromosómica no figuró como disparador de trombofilias previas y en plena sala de operaciones, los trombos se coagulaban una y otra vez frente a los médicos que trabajaban para luchar contra los mismos.

Más aún, los médicos debieron recurrir a varios caminos, pues el joven no presentó los síntomas de una oclusión de la aorta abdominal infrarrenal que a su vez, envolvía las arterias ilíacas comunes.

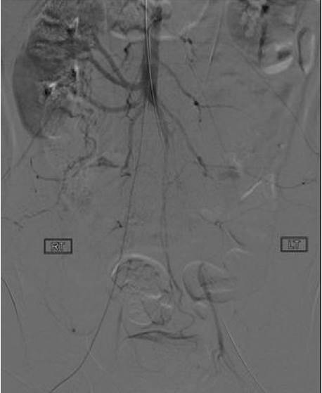
La oclusión completa de la aorta es infrecuente. Varias ramas de la aorta pueden ocluirse por la presencia de placas ateroscleróticas, displasia fibromuscular u otras entidades, que causan signos y síntomas de isquemia o infarto. Puede ocurrir en personas con situaciones de isquemia severa.

De otra parte, las arterias ilíacas comunes, o las primitivas, son dos grandes arterias, de aproximadamente 4 centímetros de largo en los adultos y más de un centímetro de diámetro, que se originan de la bifurcación de la aorta.

El Dr. Ricardo Fraticelli Rosado, quien cursa su cuarto año como residente del Programa de Cirugía del Hospital San Lucas, sostuvo que el joven llevaba aproximadamente una semana con dolor al descanso en ambas extremidades y presentaba pérdida de sensación en la pierna derecha.

El paciente padecía de diabetes y tenía un defecto del tabique ventricular (orificio en el tabique (septo) que separa el corazón de la parte izquierda y la derecha), hipertensión y pérdida de audición.

“Por el CT Scan que se le realizó se reflejó una oclusión de aorta infrarrenal con envolvimiento de ambas arterias ilíacas comunes, y aún los síntomas que presentó eran leves. También se le halló trombosis profunda de la vena poplítea (vena femoral que desemboca en en la vena ilíaca externa) en ambas extremidades con un trombo flotante en la vena cava inferior (Vena grande que desemboca en el corazón). Al paciente se le aplicó terapia trombolítica para romper los coágulos y cuando se le fue a hacer el arteriograma de seguimiento no hubo mejoría y se decidió realizar una cirugía abierta”, explicó primeramente el Dr. Fraticceli.

“Se le realizó embolectomía abierta (cirugía para extirpar un coágulo sanguíneo (émbolo) de uno de los vasos sanguíneos) y se le hacen exploraciones femorales bilaterales para sacar directamente el coágulo de las arterias, pero al cerrar las arterias el paciente volvía a formar trombosis, o sea se le volvía a coagular la sangre al paciente”, dictó.


Joven presenta rara patología trombótica y aortoilíaca en Puerto Rico

Asimismo, en la contínua búsqueda de la raíz de la actividad trombótica de este paciente, los médicos concordaron con que el cuadro recurrente de trombosis podría deberse a un efecto adverso del uso de heparina.

“Nos vino la sospecha de que podía tener trombocitopenia (trastorno en el cual hay una cantidad anormalmente baja de plaquetas, que son partes de la sangre que ayudan a coagularla) inducida por heparina (anticoagulante inyectable), una de las causas de trombosis arterial aguda. Se le cambió de medicamento intraoperatorio a Argatroban (otro tipo de anticoagulante) y tuvo un periodo intraoperatorio sin complicaciones”, abundó.

En cuanto al reporte de este tipo de casos en la literatura, Fraticelli aseguró que son pocos los casos registrados y que la mayoría se han reflejado en pacientes mayores.

“Usualmente los casos presentados describen a pacientes con un factor precipitante que hace que el paciente desarrolle esta patología. Al paciente se le realizaron estudios para descartar trombofilias hereditarias que es la causa más común y todos estos estudios arrojaron negativo”, puntualizó.

Finalmente el doctor Fraticelli sostuvo que el paciente se encuentra realizándose estudios genéticos para ver porqué desarrollo esta patología tan severa.


0:00