Médicos salvan la vida de infante con hernia diafragmática y estómago desplazado hacia los pulmones

Médicos salvan la vida de infante con hernia diafragmática y estómago desplazado hacia los pulmones

Una hernia diafragmática congénita es una patología que se produce por un defecto anatómico del diafragma, y predispone el paso del contenido abdominal hacia la cavidad torácica. Puede presentarse de manera congénita, pero rara vez se presenta luego del periodo perinatal. Precisamente esto ocurrió en Puerto Rico.

Noticias relacionadas

Siempre hay riesgo: Víctor Ramos sobre eliminación de la Orden Ejecutiva con el COVID-19 en la Isla

octubre 13, 2021

"La miocarditis reportada por la vacuna COVID-19 no debería alarmarnos", enfatiza infectólogo

octubre 13, 2021

"La miocarditis reportada por la vacuna COVID-19 no debería alarmarnos", enfatiza infectólogo

octubre 13, 2021

Y es que médicos del País fueron testigos de lo que pudiera ser el primer caso en la Isla de una infante a la que se le halló una hernia diafragmática a casi un año de edad, que estaba produciendo un cuadro de lo que se le conoce como gastrotórax a tensión, debido a la presión intratorácica y el desplazo de su estómago al área pulmonar.

Según relataron en exclusiva a Medicina y Salud Pública (MSP) los doctores Jorge Luis Falcón Chévere, decano asociado de Educación Médica Graduada y facultativo del Hospital de la Universidad de Puerto Rico en el Departamento de Medicina de Emergencias y Juanita Negrón Pagán, pediatra y catedrática asociada en el Departamento de Pediatría del Recinto de Ciencias Médicas (RCM) y también ejerce práctica en el Departamento de Neonatología en el Hospital Federico Trilla de Carolina, la paciente llegó a sala de emergencias y notaron "que no estaba interactuando como actuaría una niña normal de su edad".

Juanita Negrón Pagán, pediatra y catedrática asociada en el Departamento de Pediatría del Recinto de Ciencias Médicas (RCM)

"Era una paciente que no estaba totalmente alerta. Hace un año no podía recostarse "flat" en la cama porque le producía dificultad respiratoria marcada. Estaba soñolienta. Lo que los papás refirieron era que se acostaba a dormir y se levantaba con náuseas, no asociado con dolor abdominal. A medida que pasaba el tiempo, la paciente desarrollaba más somnolencia con dificultad para respirar y por eso llegó a la sala de emergencias", detalló por su parte la Dra. Negrón Pagán, añadiendo que la paciente tampoco presentaba historial de enfermedad aguda.

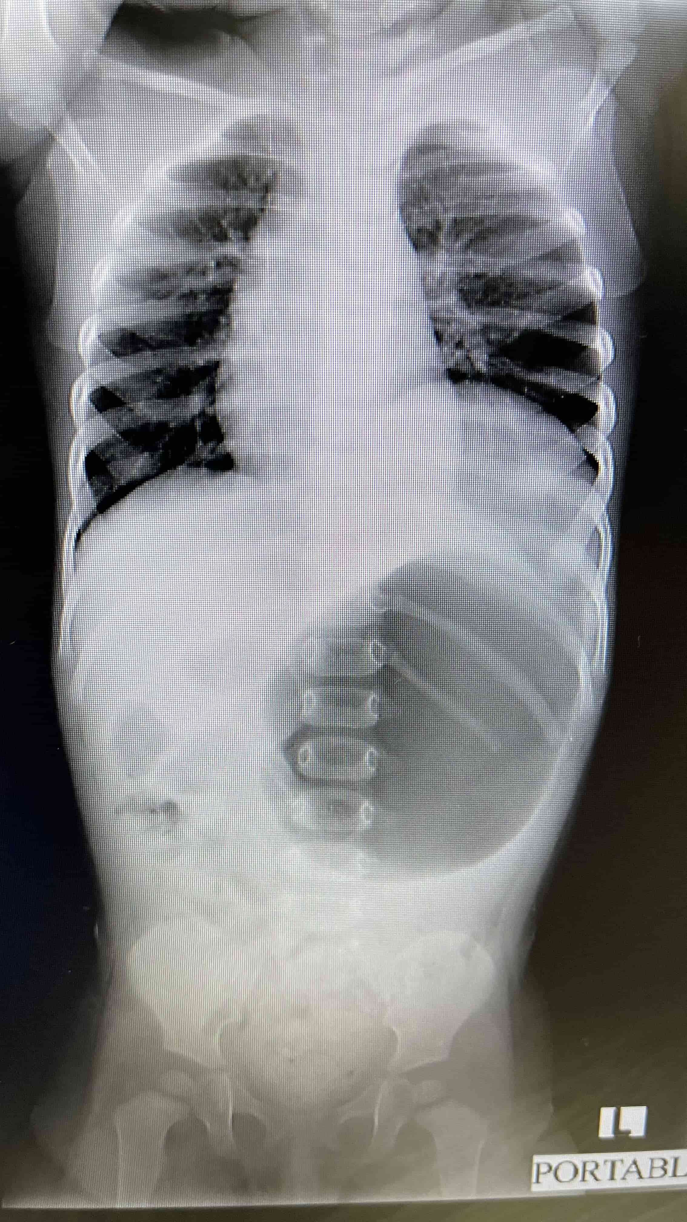
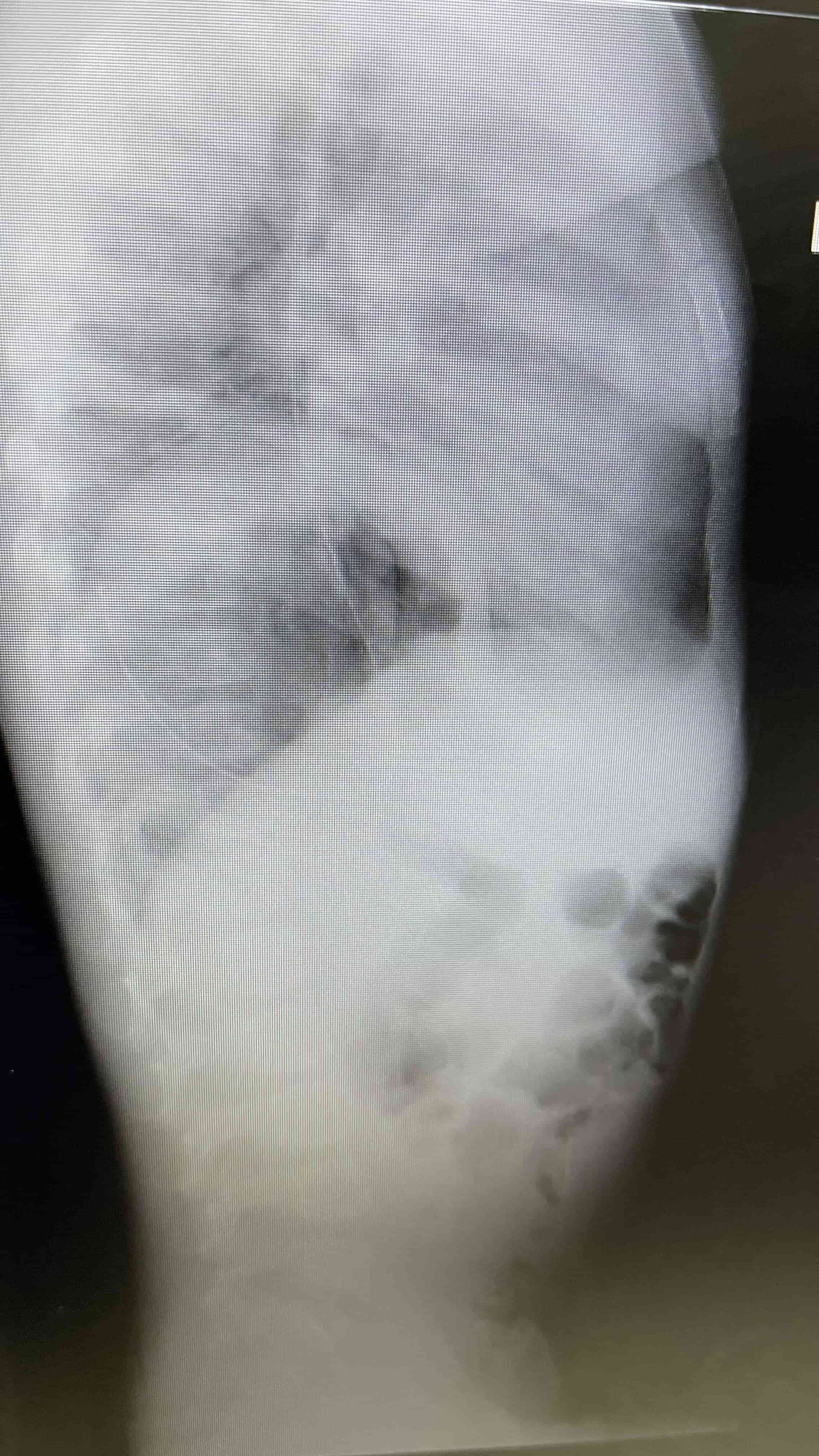
Médicos salvan la vida de infante con hernia diafragmática y estómago desplazado hacia los pulmones Radiografía de pecho y abdomen, luego de tratamiento con tubonasogástrico. Se demuestra mejoría marcada en desplazamiento deestructuras mediastinales. Médicos salvan la vida de infante con hernia diafragmática y estómago desplazado hacia los pulmones Placa lateral portable, se demuestra la hernia diafragmática Médicos salvan la vida de infante con hernia diafragmática y estómago desplazado hacia los pulmones Placa de pecho portable luego de reparación quirúrgica del diafragma.

Médicos salvan la vida de infante con hernia diafragmática y estómago desplazado hacia los pulmones Placa de pecho portable luego de reparación quirúrgica del diafragma.

"Tuvimos que analizar rápidamente diagnósticos diferenciales para rápido llegar al punto de lo que le estaba causando todos estos síntomas a la paciente. Se le realizaron placas de pecho y de abdomen, y ahí nos percatamos, junto a la ayuda del radiólogo, que esta paciente tenía una hernia diafragmática y que gran parte de su estómago estaba distendido y desplazado hacia el lado izquierdo del pecho, donde se supone que va el pulmón. Ahí entendimos las dificultades que atravesaba entre las náuseas, sueño y la dificultad respiratoria posicional", detallaron.

Continuaron explicando que, debido a que el estómago de esta paciente estaba distendido y lleno de aire, el diafragma presentaba un defecto al fungir como el músculo que separa los pulmones del abdomen.

"El estómago estaba tan inflamado y lleno de líquido, que empujaba las estructuras mediastinales y esto provocaba una disminución en la cantidad de sangre que llegaba al cuerpo. Tuvimos la bendición de que contamos con la ayuda del radiólogo, quien nos informó que tenía un Gastrotórax a tensión, que empujaba al mediastino hacia el lado contrario donde estaba el estómago, ocupando el espacio del lado izquierdo del pulmón, y esto demandó rápido un tubo nasogástrico -utilizado para la obstrucción intestinal-inmediatamente", establecieron.

"Se drenó bastante líquido y aire, e inmediatamente la niña abrió los ojos y comenzó a funcionar normal. La niña se recuperó rápidamente luego de una cirugía practicada. Si no hubiéramos actuado rápido, este panorama alentador no lo hubiéramos tenido. Como el estómago estaba empujando las zonas del mediastino, esto hace que la cantidad de sangre que llega al corazón sea mínima, lo que repercute en la circulación de la misma en tejidos periféricos y su actividad no es la misma que una persona normal, por ende puede haber presencia de sueño", detalló por su parte el Dr. Falcón.

Indicaron que la literatura médica establece que este tipo de escenarios solo ocurren en 2.6% personas por cada 10,000 nacimientos vivos.

"Para la manifestación de esta condición existen dos probabilidades: la primera que es que el paciente nace con este defecto en el diafragma o que en algún momento sufre un trauma fuerte en el pecho que produjo la ruptura de esta parte del pecho y poco a poco se va abriendo y hernando lo que es más crónico (...). En el caso de la niña fue un defecto congénito, esto se ve en 2.6% de personas por cada 10.000 nacimientos en los Estados Unidos", informaron.

"Del 2,6%, más del 90% son diagnosticadas prenatalmente, pues más adelante esta condición desarrollará varias complicaciones como hipoplasia pulmonar, lo que desencadena una dificultad para respirar, por ende es importante hacer las intervenciones antes del nacimiento", aclaró la pediatra.

"La mortalidad de tener el defecto en el diafragma es de casi un 37 a 38%, esto solo teniendo la ruptura de esta parte. (...) En el caso de la paciente, que lo tenía dentro del estómago, es mucho más alto este riesgo, lo que llama la atención de esto es que es muy extraño este caso. Lo que va a salvar la vida a un paciente es el reconocimiento rápido del caso, los actos que se lleven a cabo en ese instante pueden salvar una vida. Es importante siempre llevar el mensaje que hay diagnósticos que se pueden presentar y actuar de la misma forma, pues es lo que hace la diferencia", concordaron ambos médicos.

Finalmente, el Dr. Falcón sostuvo que en 21 años de práctica nunca se había tornado con un caso de este tipo de casos.

"Tengo 21 años desde que me gradué de médico y nunca había visto un caso como este. El cirujano pediátrico tampoco había conocido algún caso. Recalco nuevamente la importancia de que en estos casos utilicemos rápidamente el tubo nasogástrico, para drenar al paciente y que no culmine con un colapso cardiotorácico", reiteró.


0:00