Médicos salvan la vida de infante con hernia diafragmática y gastrotórax a tensión

Médicos salvan la vida de infante con hernia diafragmática y gastrotórax a tensión

Unaherniadiafragmática congénita es una patología que se produce por un defecto anatómico del diafragma, y predispone elpaso del contenido abdominalhacia la cavidad torácica. Puede presentarse de manera congénita, pero rara vez se presenta luego del periodo perinatal. Precisamente esto ocurrió enPuerto Rico.

Y es que médicos delPaísfueron testigos de este raro caso en laIslade una infante de casi un año de edad que llegó a una sala de emergenciascon una herniadiafragmática asociada a un cuadro de estatus mental alterado y dificultad respiratoria aguda debido a lo que se le conoce como gastrotórax a tensión. Produciendo un desplazamiento del estómago al tórax a través de un defecto del diafragma, un aumento en presión intratorácica y el movimiento de estructuras mediastinales causando estos síntomas.

Noticias relacionadas

#ExclusivoMSP - Primer caso de infección por hongo penicillum en Puerto Rico

octubre 20, 2021

La mamografía digital ha revolucionado la detección temprana y efectiva del cáncer de seno

octubre 19, 2021

La mamografía digital ha revolucionado la detección temprana y efectiva del cáncer de seno

octubre 19, 2021

Según relataron enexclusiva aMedicinaySalud Pública(MSP) los doctoresJorge Luis Falcón Chévere, decano asociado deEducación Médica Graduaday facultativo delHospital de la Universidad de Puerto Ricoen elDepartamento de Medicina de EmergenciasyJuanita Negrón Pagán, pediatra y catedrática asociada en el Departamento de Pediatría del Recinto de Ciencias Médicas (RCM) y que también ejerce práctica en elDepartamento de Neonatologíaen elHospital Federico Trilla de Carolina, la paciente llegó a sala de emergencias y notaron "que no estaba interactuando como actuaría una niña normal de su edad".

"La paciente no estaba alerta al llegar a la sala de emergencias. El cuadro clínico de la paciente fue progresando rápidamente y ya no podía estar en posición supina (acostado boca arriba) porque le producía dificultad respiratoria marcada. A medida que pasaba el tiempo, la paciente desarrollaba más somnolencia y dificultad respiratoria", detalló por su parte laDra. Negrón Pagán, añadiendo que la paciente no tenía historial previo de enfermedad alguna.

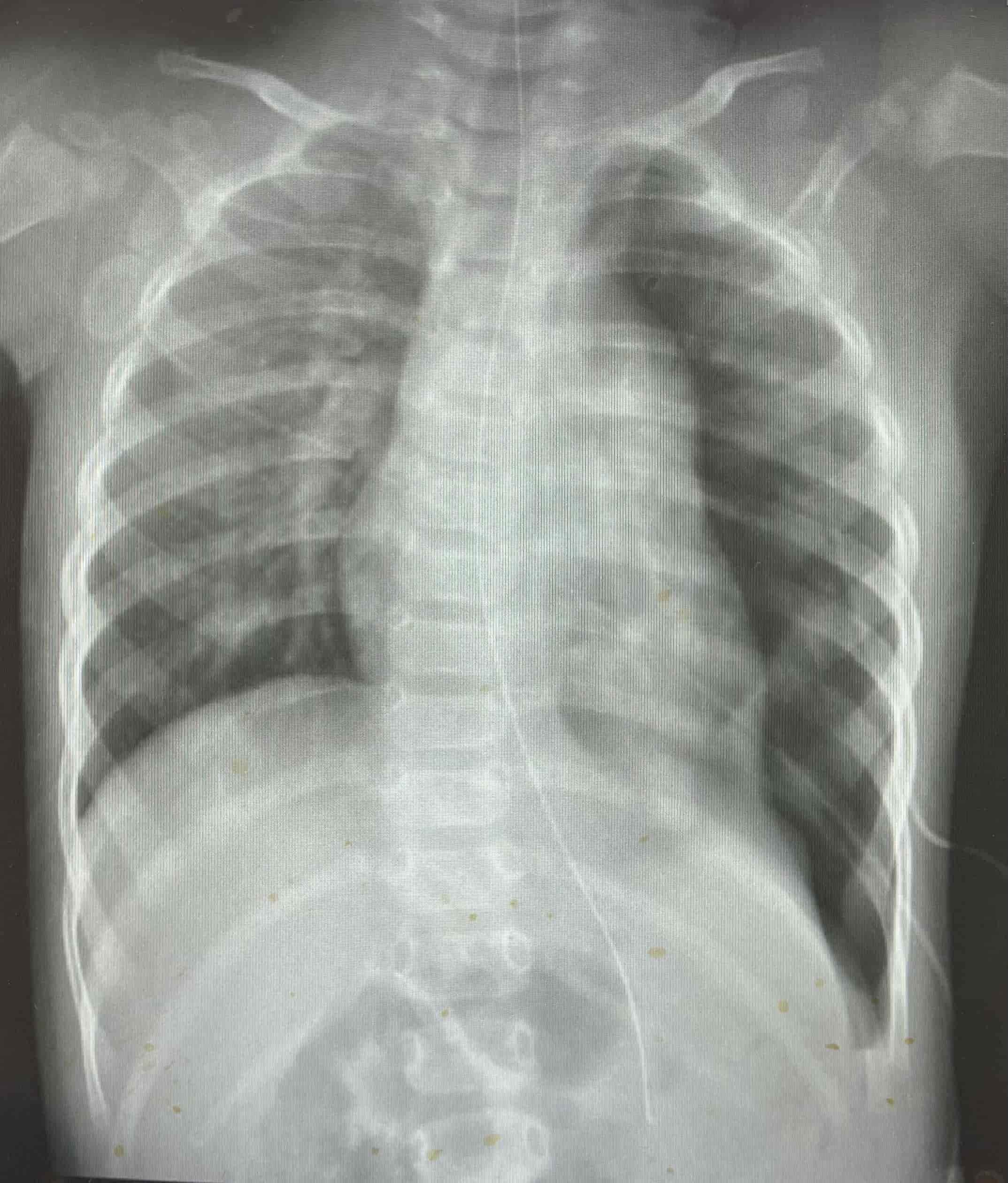
"Tuvimos que analizar rápidamente diagnósticos diferenciales para llegar al punto de lo que le estaba causando todos estos síntomas a la paciente. Se le realizaron placas de pecho y de abdomen, y ahí nos percatamos, que esta paciente teníauna herniadiafragmática y que gran parte de su estómago estaba distendido y dentro del hemitórax izquierdo, desplazando hacia el lado derecho del pecho las estructuras mediastinales. Fue entonces que llegamos a la confirmación del diagnóstico", detallaron.

"El estómago estaba muy distendido y lleno de líquido y aire, que empujaba las estructuras mediastinales y esto provocaba una disminución en la cantidad de sangre que llegaba al cuerpo. El radiólogo confirmó el diagnóstico , quien nos informó que tenía un gastrotórax a tensión, y esto demandó rápido el tratamiento de descompresión con un tubo nasogástrico", establecieron.

"Se drenó bastante contenido estomacal y aire, e inmediatamente la niña comenzó a recuperar e interactuar. La niña se recuperó completamente luego de una cirugía en donde se reparó el diafragma. Si no hubiéramos actuado rápido, este panorama alentador no lo hubiéramos tenido. Debido a que el estómago estaba empujando el mediastino, esto hace que la cantidad de sangre que llega al corazón sea mínima, lo que repercute en la circulación de la misma en tejidos periféricos y su actividad no es la misma que una persona normal", detalló por su parte el Dr. Falcón.

"Para la manifestación de esta condición existen dos probabilidades: la primera que es que el paciente nace con este defecto en el diafragma o que en algún momento sufre un trauma fuerte al pecho que produce la ruptura del diafragma y poco a poco se va abriendo y herniando, lo que resulta en un cuadro clínico más crónico. En el caso de la niña fue un defecto congénito, esto se ve en 2.6% de personas por cada 10.000 nacimientos en los Estados Unidos", informaron.

"Del 2.6%, más del 90% son diagnosticadas prenatalmente, pues más adelante esta condición desarrollará varias complicaciones como hipoplasia pulmonar, lo que desencadena una dificultad para respirar, por ende es importante hacer las intervenciones antes del nacimiento", aclaró la pediatra.

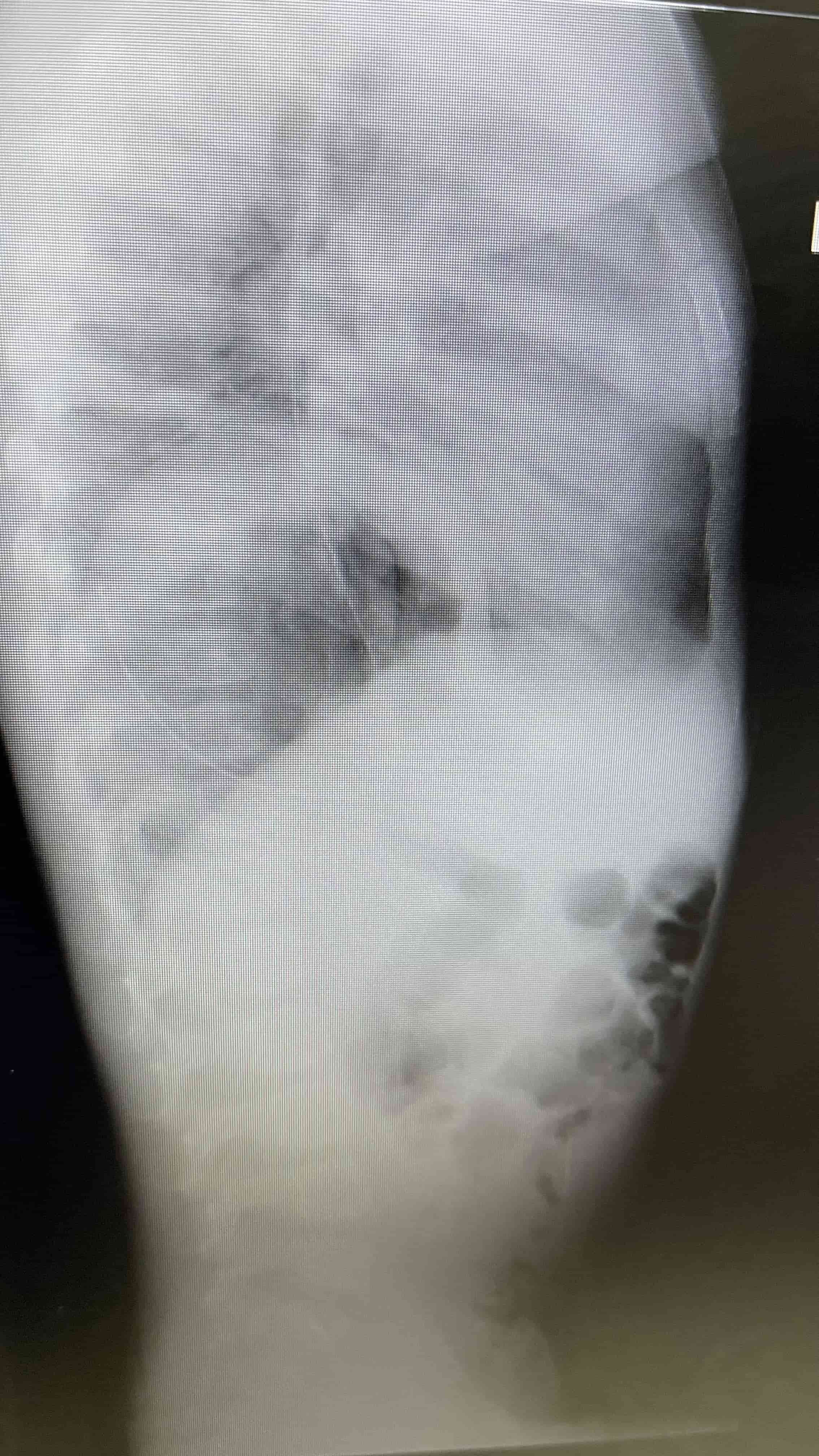
Médicos salvan la vida de infante con hernia diafragmática y gastrotórax a tensión  Placa lateral portable, se demuestra la hernia diafragmática. Médicos salvan la vida de infante con hernia diafragmática y gastrotórax a tensión  Radiografía de pecho y abdomen, luego de tratamiento con tubonasogástrico. Se demuestra mejoría marcada en desplazamiento deestructuras mediastinales. Médicos salvan la vida de infante con hernia diafragmática y gastrotórax a tensión  Placa de pecho portable luego de reparación quirúrgica del diafragma.

Médicos salvan la vida de infante con hernia diafragmática y gastrotórax a tensión  Placa de pecho portable luego de reparación quirúrgica del diafragma.

"La mortalidad por tener el defecto en el diafragma es de casi un 37 a 38%. Al presentarse con un gastrotórax a tensión es mucho más alta la mortalidad. Lo que va a salvar la vida a un paciente con esta condición es el reconocimiento y manejo rápido del caso, el simple hecho de descomprimir con un tubo nasogástrico puede salvar una vida. ", concordaron ambos médicos.

Finalmente, el Dr. Falcón sostuvo que en 21 años de práctica nunca se había enfrentado con un caso de gastrotórax a tensión.

"Tengo 21 años desde que me gradué de médico y nunca había visto un caso como este. El cirujano pediátrico tampoco había tenido algún caso. Recalco nuevamente la importancia de que en estos casos utilicemos rápidamente el tubo nasogástrico, para drenar al paciente y que no culmine con un colapso cardiotorácico", reiteró.


0:00