Raro de diente ectópico intranasal en mujer joven se registra en la literatura

Raro de diente ectópico intranasal en mujer joven se registra en la literatura

Los dientes ectópicos que se presentan fuera de la cavidad oral pueden ser dientes deciduos, permanentes o supernumerarios, tal cual refleja su incidencia de 0.1 a 1% de los casos, denominándose una entidad clínica rara.

Recientemente, la literatura científica reportó que una paciente de 15 años se presentó con quejas de hiposmia y obstrucción nasal. El caso fue confirmado tras realizársele una tomografía de los senos paranasales y la cavidad nasal mostró una estructura similar a un diente en la cavidad nasal inferior izquierda que se extendía desde el paladar duro.

De acuerdo a lo expuesto por los médicos encargados del caso, los dientes en áreas no dentadas, incluidos los dientes intrasinusales e intranasales, rara vez se encuentran en la práctica clínica.

Insistieron en el reporte que aunque la mayoría de los pacientes permanecen asintomáticos, los síntomas habituales de presentación son obstrucción nasal, epistaxis, hiposmia y dolor de cabeza.

Noticias relacionadas

#ExclusivoMSP - Guillain-Barré: síntomas inician en extremidades inferiores de los pacientes

enero 07, 2022

Variante de Guillain-Barré se presenta en medio de una leucemia linfocítica y síndrome paraneoplásico

enero 05, 2022

Variante de Guillain-Barré se presenta en medio de una leucemia linfocítica y síndrome paraneoplásico

enero 05, 2022

A la paciente se le practicó una extracción quirúrgica del diente ectópico, e indicaron que dicho procedimiento además es el indicado en pacientes asintomáticos para evitar complicaciones.

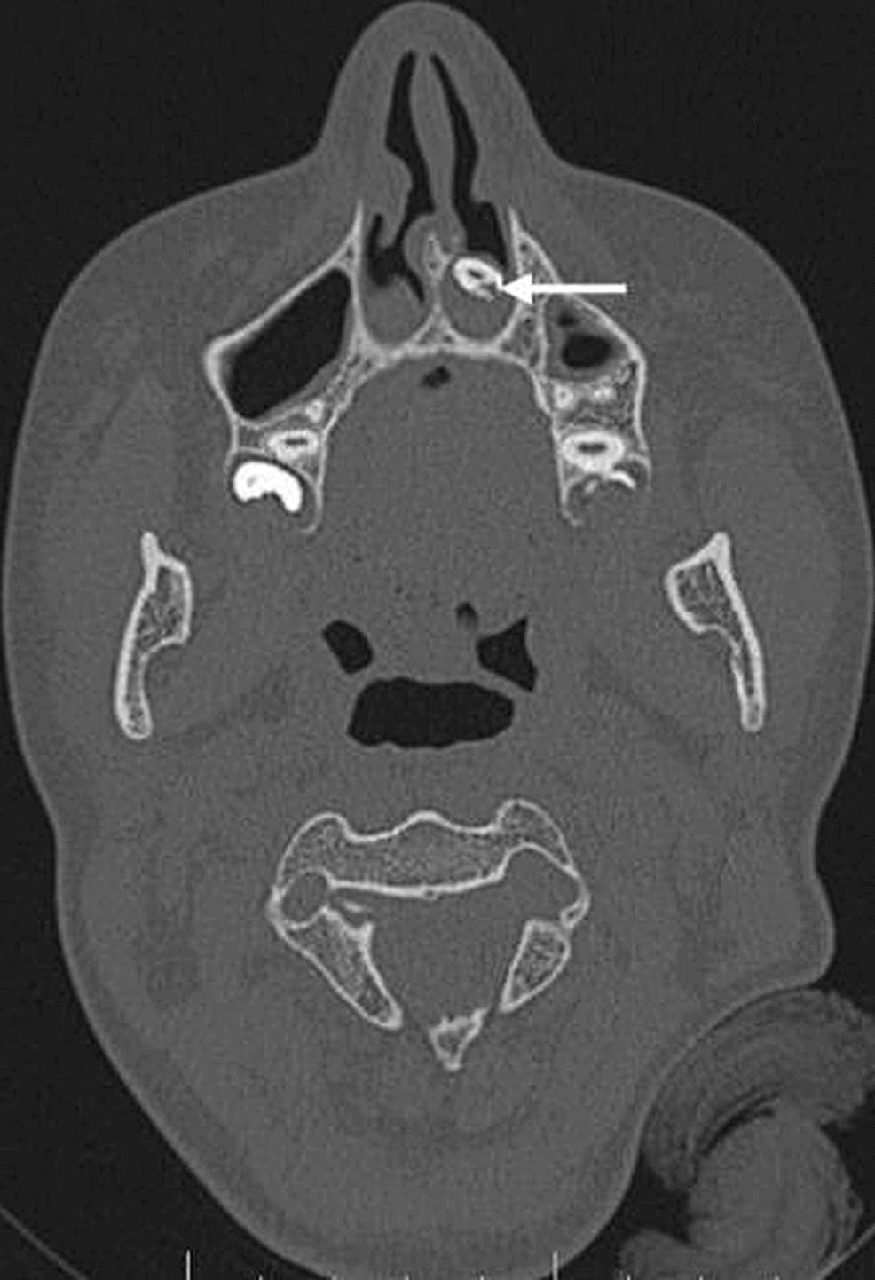
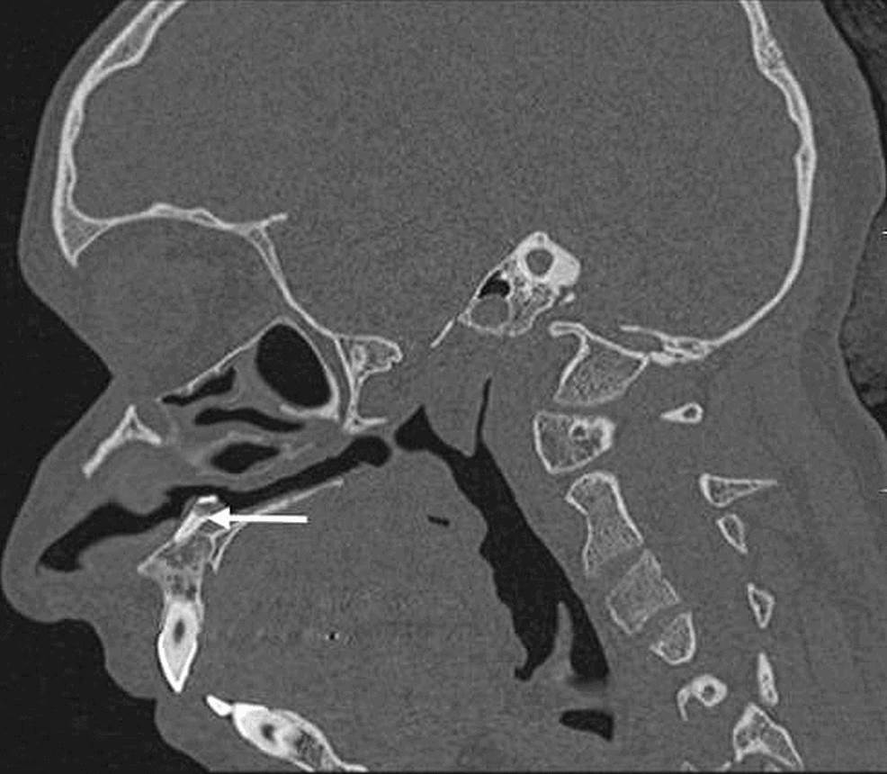
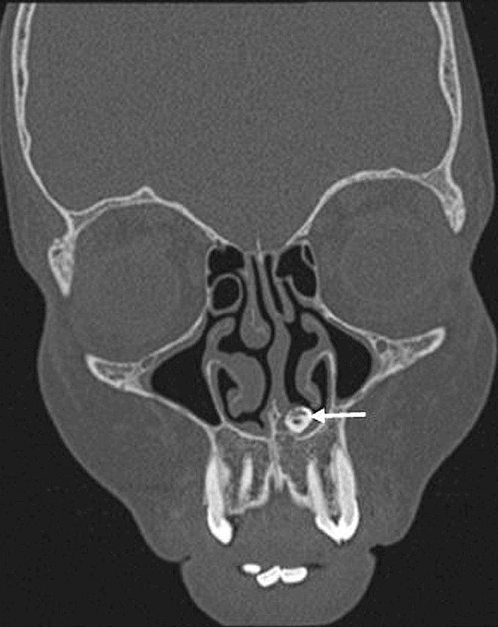
Raro de diente ectópico intranasal en mujer joven se registra en la literatura  Imagen coronal que muestra una estructura similar a un hueso (flecha blanca) incrustada en el paladar duro que se extiende hacia la cavidad nasal izquierda. Raro de diente ectópico intranasal en mujer joven se registra en la literatura  Tomografía computarizada axial que muestra un diente ectópico en la cavidad nasal izquierda rodeado de tejido blando (flecha blanca). Raro de diente ectópico intranasal en mujer joven se registra en la literatura  La radiografía simple muestra la estructura radiopaca en la fosa nasal izquierda, incrustada en el paladar duro (flecha blanca). Raro de diente ectópico intranasal en mujer joven se registra en la literatura  Imagen sagital que muestra la extensión completa de un diente intranasal (flecha blanca), que se encuentra incrustado en el paladar duro.

Raro de diente ectópico intranasal en mujer joven se registra en la literatura  Imagen sagital que muestra la extensión completa de un diente intranasal (flecha blanca), que se encuentra incrustado en el paladar duro.

Recalcaron además la importancia de las imágenes radiológicas que ayudaron en el diagnóstico de un diente ectópico.

Este caso se reconoce como una mesiodens, el cual se trata de un diente supernumerario presente en la línea media palatina en el sitio de los incisivos.

Explicaron además que los factores predisponentes para un diente nasal ectópico son trauma, erupción ectópica, dientes supernumerarios, infecciones odontogénicas o rinogénicas.

Acceda al caso aquí.


0:00