Uso indiscriminado de viagra ocasiona trombosis cerebral en paciente de 64 años

Uso indiscriminado de viagra ocasiona trombosis cerebral en paciente de 64 años

César Fuquen LealAgencia Latina de Noticias de Medicina y Salud Pública

El abuso de sildenafil, nombre científico del viagra, ocasionó que un varón de 64 años con antecedentes de hipertensión benigna desarrollara una trombosis del seno cerebral, también conocida como isquemia del seno cavernoso -una enfermedad caracterizada por la aparición de múltiples neuropatías craneales, principalmente a nivel oftálmico-.

“El paciente estaba haciendo jardinería cuando perdió el conocimiento y fue llevado de emergencia al hospital. Al llegar se le hizo un CT & MRI y MRA (tipo de resonancia magnética que usa un campo magnético e impulsos de energía de ondas de radio para generar imágenes de los vasos sanguíneos) y se observó una isquemia del seno cavernoso. Luego de hacer bien el historial la hermana nos notifica que en la ropa del paciente había varias pastillas de viagra y que su hermano era tomador usual de este medicamento y que ese día muy posiblemente había tomado para una cita que tenía pautada”, dijo el Dr. Ernesto Jimeno a la Revista Medicina y Salud Pública (MSP).

Diagnóstico

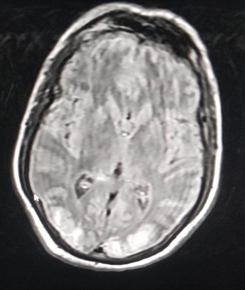
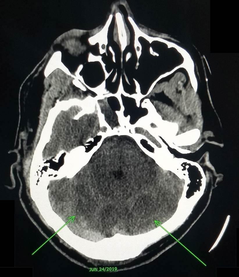
Según los doctores que atendieron el caso en el Hospital Auxilio Mutuo, al paciente se le realizaron varias tomografías computarizadas y resonancias magnéticas que mostraron insultos isquémicos multifocales en evolución en todo el territorio de perfusión de las arterias cerebrales posteriores con edema citotóxico que provocó borramiento de los surcos corticales y pliegue cerebeloso. Además, la prueba de hipercoagulación -para determinar si una persona tiene o ha formado un coágulo sanguíneo- fue positiva para PR-3 pero C-ANCA fue negativa.


Uso indiscriminado de viagra ocasiona trombosis cerebral en paciente de 64 años

Una vez en el hospital

En el estudio, los doctores encargados de analizar el caso, evidenciaron que mientras el paciente estaba en el servicio de urgencias, desarrolló un rápido deterioro de su estado mental, que resultó en insuficiencia respiratoria aguda y terminó con intubación endotraqueal con ventilación mecánica.

Después del rápido deterioro, en el examen, se encontró que el paciente estaba en coma con respuesta a estímulos dolorosos y reflejos tendinosos profundos (reflejos de los tendones). El paciente no tenía rigidez en el cuello, pero presentaba una mirada fija y signo de Babinski positivo -trastorno del sistema nervioso central-.

“El paciente no sintió síntomas, solo estaba trabajando en jardinería y cayó al suelo y fue llevado a la emergencia. Se ingresó a cuidados intensivos y poco a poco fue recuperando parte de la función motora”, explicó el Dr. Jimeno.

¿Por qué se desarrolla este tipo de trombosis?

La trombosis del seno cerebral ocurre cuando se forma un coágulo de sangre en los senos venosos del cerebro. La trombosis de la vena cerebral puede desarrollarse en relación con infecciones de los senos paranasales y el oído adyacente o con meningitis bacteriana, pero las etiologías más comunes son la oclusión venosa no infecciosa originada por estados de hipercoagulabilidad

, así como algunas vasculitis de arterias pequeñas.

Los doctores, quienes analizaron el caso minuciosamente evidenciaron que los fármacos como bevacizumab, tamoxifeno y sildenafil (viagra) también pueden desempeñar un papel en el estado de hipercoagulabilidad que puede conducir a esta afección al disminuir los niveles de antitrombina III y proteína S libre.


Uso indiscriminado de viagra ocasiona trombosis cerebral en paciente de 64 años

Conclusión y aportación a la literatura científica

Este caso expone uno de los posibles efectos secundarios del uso de sildenafil sin una historia detallada y un laboratorio pertinente. Estos aspectos necesitan ser estudiados para evaluar los riesgos y también acotar las posibilidades de desarrollar este tipo de eventos. En este caso también era posible una posible granulomatosis de Wegener (trastorno que provoca inflamación de los vasos sanguíneos). El paciente no ha realizado un seguimiento para un diagnóstico definitivo.

“Este caso me pareció muy interesante puesto que revela que el uso indiscriminado de medicamentos pueden llevar a causas fatales si se toman sin instrucción médica. También fue interesante porque hay muy pocos estudios de las asociación del viagra y eventos trombóticos o isquémicos. (…) -El caso- lamentablemente solo expone la relación del viagra y posibles eventos trombóticos e isquémicos. Lamentablemente el caso no pudo ser seguido puesto que la hermana del paciente no lo llevaba a seguimiento una vez dado de alta”, ahondó el doctor.

El Dr. Jimeno finalizó su diálogo con MSP exhortando a la población para que no se automediquen para evitar enfermedades tan mortales como la del paciente que sufrió este tipo de trombosis.

“Invito a las personas que antes de tomar cualquier medicamento, por muy inocuo que parezca, consulten con expertos. Los mismos siempre tienen efectos colaterales o secundarios generalmente leves pero que pueden exacerbar condiciones de base del paciente y llevar a consecuencias graves. En el caso de este paciente pensamos que tenía un estado de hipercoagulabilidad y el viagra exacerbó el mismo”, concluyó el Dr. Jimeno.

Jimeno-Chacin, E. MD1; Mercado, F. MD1; Pabon, E. MD1; Miranda, R. MD2 y García, F. MD3 1. Médico interno 2. Médico tratante 3. Director rotatorio del programa de pasantías Hospital Auxilio Mutuo – San Juan, Puerto Rico.


Uso indiscriminado de viagra ocasiona trombosis cerebral en paciente de 64 años

0:00